Acute myeloid leukemia (AML) is the most common type of leukemia., characterized by the rapid and uncontrolled growth of abnormal cells. Epigenetic modifications control gene expression without affecting its DNA sequence. H4K20me1 is the mono-methylation occurring on lysine 20 of histone H4, acting as an epigenetic mark that promotes gene expression. SETD8 is responsible for catalyzing the mono-methylation of lysine 20 on histone H4. While SETD8's role and mechanisms have been studied in various types of cancer, its function in AML remains unclear.
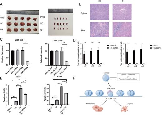
This study is based on the screening of a small molecule compound library, which identified the inhibitor UNC0379 targeting the histone methyltransferase SETD8, showing clear inhibitory effects on three non-M3 AML cell lines. Bioinformatical analysis revealed elevated SETD8 expression in AML patients compared to normal individuals and higher SETD8 expression corresponded with lower overall survival rates (OS). Further investigations using AML cell lines and normal peripheral blood mononuclear cells (PBMCs) demonstrated that SETD8 knockdown or UNC0379 intervention inhibited cell proliferation and increased apoptosis in AML cells, while PBMC cells remained unaffected. In an AML model constructed with C1498 cell injection in C57BL/6J mice, we observed that SETD8 knockdown and treatment with UNC0379 inhibited tumor formation and infiltration.
To elucidate the molecular mechanism of SETD8's impact on AML, we conducted transcriptome sequencing on SETD8 knockdown AML cells and found significantly decreased mRNA expression of CXCR4, which was further validated at the protein level. Also, BeatAML and TCGA datasets demonstrated a positive correlation between SETD8 and CXCR4 mRNA expression. These phenomena motivated us to clarify the regulation relationship between SETD8 and CXCR4.
CXCR4 is a crucial membrane receptor. After stimulation, it promotes AML cell proliferation and survival. CHIP experiments in SETD8 knockdown cells revealed reduced H4K20me1 enrichment in the CXCR4 promoter region. Subsequent rescue experiments demonstrated that overexpressing CXCR4 or using its corresponding agonist SDF-1alpha in SETD8 knockdown cells moderately restored cell proliferation and reduced apoptosis.
In summary, we discovered that SETD8 promotes CXCR4 transcriptional activation through catalyzing the H4K20me1 mark, thereby influencing AML cell proliferation and apoptosis. SETD8 presents a promising therapeutic target through genetic or pharmacological intervention.
Disclosures
No relevant conflicts of interest to declare.

This feature is available to Subscribers Only
Sign In or Create an Account Close Modal